Dental Emergency in Anchorage
Prompt, effective treatment to restore your comfort and protect your oral health.
“Anchorage emergency dental clinic near me” is a search no one wants to make—but when urgent care is needed, our Anchorage dentist is ready to help. Dental emergencies can happen at any time and require quick attention to prevent complications and relieve pain.
Not sure if your issue needs immediate care or a different approach? Our Anchorage dental team can help you decide. Whether you’re new to our practice or already part of the Emerald Peak Dental family, we’re here to assist. We also offer follow-up care, including dental cleaning anchorage and long-term support through our full-service dentist office near me page. Call today to schedule your visit.
EMERGENCY DENTAL SERVICES
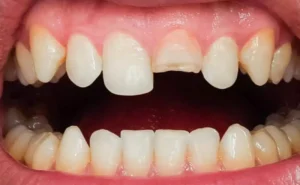
What Are Dental Emergencies?
Dental emergencies encompass a variety of urgent dental issues that require immediate attention. These can include severe toothaches, broken or knocked-out teeth, abscesses, and injuries to the gums or jaw. Prompt treatment is essential to address pain, prevent infection, and restore oral health.
The Process
The process of receiving care for a dental emergency at Emerald Peak Dental involves several steps, to ensure quick and effective treatment:
1. Immediate Contact
If you experience a dental emergency, contact our office immediately. We will provide guidance on how to manage the situation until you can be seen by our team.
2. Assessment
Upon arrival, we will conduct a thorough examination to assess the severity of the emergency and determine the appropriate treatment.
3. Treatment
Based on the assessment, we will provide the necessary treatment to address the issue. This may include pain relief, tooth repair, infection control, or other urgent dental procedures.
4. Follow-Up
After the initial emergency treatment, we will schedule follow-up visits to monitor your recovery and ensure that no further issues arise.
Why You Should Get Prompt Dental Emergency Care
There are many benefits of prompt dental emergency care, including:
Pain Relief
Immediate treatment can alleviate severe pain and discomfort associated with dental emergencies.
Prevention of Complications
Addressing dental emergencies promptly can prevent infections and other complications that could worsen over time.
Restoration of Oral Health
Quick and effective treatment can restore the function and appearance of damaged teeth, preserving your oral health.
Peace of Mind
Knowing that professional help is available in an emergency can provide peace of mind and reduce stress.
Frequently Asked Questions
What Constitutes a Dental Emergency?
Dental emergencies include severe toothaches, broken or knocked-out teeth, abscesses, injuries to the gums or jaw, and any situation causing significant pain or discomfort.
How Should I Handle a Dental Emergency?
Contact our office immediately for guidance on managing the situation until you can be seen by our team. For knocked-out teeth, keep the tooth moist and try to place it back in the socket if possible. Do not rinse the tooth in water, if you cannot place it back in the socket immediately, store it in milk or in your cheek until you can get to a dentist ASAP.
Is Dental Emergency Treatment Painful?
We prioritize your comfort and use local anesthesia or sedation as needed to minimize pain during emergency treatment. Some discomfort may occur after the procedure, but this can be managed with pain relievers.
What Are the Side Effects of Dental Emergency Treatment?
Side effects vary depending on the treatment but may include temporary swelling, bruising, or discomfort. Your dentist will discuss any potential side effects with you before starting treatment.
How Much Does Dental Emergency Treatment Typically Cost?
The cost of dental emergency treatment varies depending on the nature of the emergency and the necessary procedures. Contact us for a personalized estimate.
Can Dental Emergencies Be Prevented?
While not all dental emergencies can be prevented, maintaining good oral hygiene, wearing protective gear during sports, and avoiding hard or sticky foods can reduce the risk of emergencies.
How Do I Take Care of My Mouth After Emergency Treatment?
Follow your dentist’s instructions for post-treatment care, which may include rest, avoiding certain foods, and taking prescribed medications as directed.
Will People Notice That I Have Had Emergency Dental Treatment?
Depending on the treatment, some procedures may result in temporary changes in appearance. However, our goal is to restore your smile to its natural look as quickly as possible.
What Are the Alternatives to Dental Emergency Treatment?
There are no true alternatives to emergency dental treatment when immediate care is needed. Delaying treatment can lead to further complications.
How Long Will It Take to Recover from a Dental Emergency?
Recovery time varies depending on the severity of the emergency and the treatment provided. Your dentist will guide you on the expected recovery period.
What Happens If I Have a Dental Emergency After Hours?
Contact our office for instructions on how to handle after-hours dental emergencies. We provide guidance and may arrange for urgent care as needed.
Will Emergency Dental Treatment Make My Mouth Sore?
Some soreness is normal after emergency treatment. This can be managed with pain relievers, ice packs, and following your dentist’s aftercare instructions.
What to Expect at Emerald Peak Dental
When you reach out to Emerald Peak Dental for an emergency appointment, you’re taking a crucial step towards immediate relief and excellent oral health in Anchorage. During your visit, we will thoroughly assess your specific needs and provide urgent, comprehensive care. Our team will carefully evaluate your condition and recommend the most effective treatment options to create a personalized care plan just for you.
Our priority is to deliver an exceptional patient experience, ensuring your health and satisfaction throughout your emergency treatment. We understand that some patients may have dental anxieties or concerns, and we are dedicated to providing a comfortable and reassuring experience. At Emerald Peak Dental, you’re not just getting emergency care; you’re receiving compassionate, customized care tailored to your individual needs and comfort.

Tooth Pain at Night When to Call a Dentist
It’s a situation many Anchorage patients know too well: you go to bed feeling fine, only to wake up hours later with throbbing pain in your jaw that refuses to let you sleep. The silence of the night makes every pulse of discomfort more noticeable, and you’re left debating whether

What to Do If You Break a Tooth in Anchorage
It always seems to happen at the worst time—you slip on winter ice, a hockey puck takes a bad bounce, or you bite down on an unpopped kernel and feel that sharp edge. If you’ve cracked or fractured a tooth, timing matters. The smartest first step is to arrange emergency

Tooth Pain in Anchorage? Ease the Pain Until Your Appointment
Tooth pain doesn’t follow office hours. When you’re in Anchorage and pain strikes late at night or during a weekend, waiting to see a dentist can feel unbearable. Whether it’s pressure from a cracked molar or swelling that disrupts your sleep, many Alaskans find themselves stuck between discomfort and uncertainty—especially
Dental Emergency Care Insights
No matching results found