Dental Reconstruction in Anchorage

Dental Reconstruction in Anchorage

Anchorage Alaska Dentists for Dental Reconstructions

We offer comprehensive dental care in Anchorage including full-mouth reconstruction services designed to rebuild, restore, and enhance both function and appearance. Whether you’re working with an Anchorage Alaska dentist on a full-arch replacement or treating widespread damage, we customize each plan to fit your goals.

Treatment may involve crowns and bridges provided by dentists Anchorage patients trust, or aesthetic upgrades like veneers Anchorage patients need—all planned in-house for precision and comfort.

Find out if full reconstruction is the right fit, or if another approach is better for your long-term health. Call today to schedule your visit with our Anchorage team.

Dental Reconstruction in Anchorage

PROSTHETIC DENTISTRY SERVICES

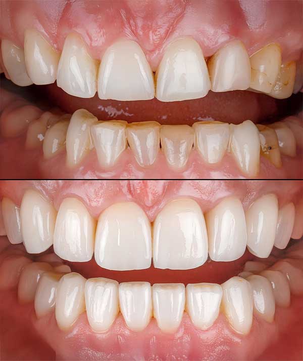
What Is Dental Reconstruction?

Dental reconstruction, also known as full mouth reconstruction or rehabilitation, involves a combination of restorative and cosmetic dental procedures to address complex dental issues. This comprehensive approach aims to rebuild and restore all of the teeth in both the upper and lower jaws, improving overall oral health, functionality, and aesthetics.

The Process

The process of dental reconstruction at Emerald Peak Dental involves several steps, ensuring a thorough and personalized treatment plan:

1. Consultation

During your initial visit, we will conduct a comprehensive examination of your teeth, gums, and jaw. We will discuss your goals and any concerns to determine the best course of action for your dental reconstruction.

2. Treatment Planning

Based on the examination, we will create a detailed treatment plan that outlines the necessary procedures. This may include a combination of crowns, bridges, veneers, implants, and other restorative treatments.

3. Procedures

The dental reconstruction process typically involves multiple appointments. Each procedure will be scheduled in a sequence that ensures optimal results and minimizes discomfort.

4. Follow-Up

Regular follow-up visits are essential to monitor your progress, make any necessary adjustments, and ensure the long-term success of your dental reconstruction.

Why You Should Get Dental Reconstruction

There are many benefits of dental reconstruction, including:

Enhanced Functionality

Dental reconstruction restores your ability to chew, speak, and smile with confidence.

Aesthetic Improvement

Comprehensive reconstruction provides a natural-looking and aesthetically pleasing smile.

Improved Oral Health

Addressing multiple dental issues simultaneously can prevent further complications and improve overall oral health.

Personalized Care

Each treatment plan is tailored to meet your specific needs, ensuring the best possible outcomes.

Frequently Asked Questions

What Does Dental Reconstruction Involve?

Dental reconstruction typically combines multiple procedures—such as crowns, bridges, implants, and veneers—to restore your smile. Our Anchorage Alaska dentists evaluate your bite, oral health, and long-term goals to design a personalized treatment plan.

The duration of dental reconstruction varies depending on the complexity of the case and the specific procedures required. It may take several months to complete the entire process.

Ideal candidates for dental reconstruction are individuals with multiple dental issues, including missing teeth, severe decay, damaged teeth, and bite alignment problems. Your dentist will evaluate your oral health to determine if dental reconstruction is suitable for you.

The procedures involved in dental reconstruction are performed under local anesthesia to minimize discomfort. Some soreness and swelling may occur after certain procedures, but this typically subsides with proper care.

Preparation involves an initial consultation to discuss your goals and evaluate your oral health. A detailed treatment plan will be created based on your needs.

Some patients may experience temporary soreness, swelling, or discomfort after certain procedures. These side effects usually diminish as the mouth heals.

The cost of dental reconstruction varies depending on the complexity of the case and the procedures required. Contact us for a personalized estimate.

Yes, dental reconstruction can be completed in phases to accommodate your schedule, budget, and comfort. Your dentist will work with you to create a phased treatment plan if needed.

Maintain good oral hygiene by brushing twice daily, flossing once daily, and scheduling regular dental check-ups. Follow any specific care instructions provided by your dentist.

High-quality dental reconstruction is designed to look natural, so most people will not notice that you have had extensive dental work.

Certain procedures, such as implants and crowns, involve permanent alterations to your teeth and jawbone. Your dentist will discuss the implications of each procedure with you.

Alternatives to dental reconstruction include individual restorative treatments for specific issues. Your dentist can help determine the best option for your needs.

With proper care, the results of dental reconstruction can last many years. Regular dental check-ups and good oral hygiene practices are essential to maintaining your new smile.

If adjustments are needed after dental reconstruction, your dentist will address them during follow-up visits to ensure your comfort and satisfaction.

Some procedures may cause temporary soreness as you adjust to the new restorations. This discomfort typically subsides with time and proper adjustments.

What to Expect at Emerald Peak Dental

When you schedule a consultation at Emerald Peak Dental, you are taking the first step toward restoring your smile with the best dental reconstruction in Anchorage. Your initial appointment will focus on understanding your specific needs and providing comprehensive insight into your treatment options. Our team meticulously considers your goals, current oral health, and the most suitable treatment options to craft a personalized plan just for you.

Our approach prioritizes an exceptional patient experience, focusing on health and satisfaction throughout your journey to achieve a fully reconstructed smile. We are committed to accommodating patients with dental phobias or concerns, ensuring a comfortable and reassuring experience. At Emerald Peak Dental, you’re not just getting dental reconstruction; you’re embraced with compassionate care tailored to your pace and comfort.

Implants vs Dentures in Anchorage
Dental Implant

What’s the Difference Between Implants and Dentures?

When a tooth can’t be saved, Anchorage patients usually face the same big question: should I choose implants or dentures? Both options restore chewing ability and confidence, but they differ in stability, maintenance, and cost over time. This guide breaks down the real differences so you can decide whether dental

Read More »
Care for Your Dentures
Dentures

How to Care for Your Dentures: Ultimate Guide for Comfort

Dentures play a crucial role in restoring your smile and maintaining oral health. However, they require proper care to ensure longevity and comfort. Whether you’re new to dentures or have been wearing them for years, this guide will provide essential tips for keeping them clean, comfortable, and in top shape

Read More »
Denture Repairs in Anchorage
Denture Repair

Denture Repairs, Relines, & Adjustments: A Comprehensive Guide

When it comes to maintaining the comfort and functionality of your dentures, routine care such as denture repairs, relines, and adjustments is essential. At Emerald Peak Dentist, we dedicate ourselves to ensuring your dentures fit perfectly and function as intended. After receiving your dentures, we will evaluate their fit and performance at each follow-up. We also offer essential services like repairs, relines, and adjustments to keep your dentures in optimal condition.

Read More »

Dental Reconstruction Care Insights