Smile Gallery

Cosmetic Dentistry Smile Results in Anchorage, Alaska

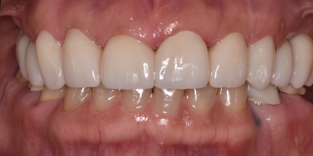
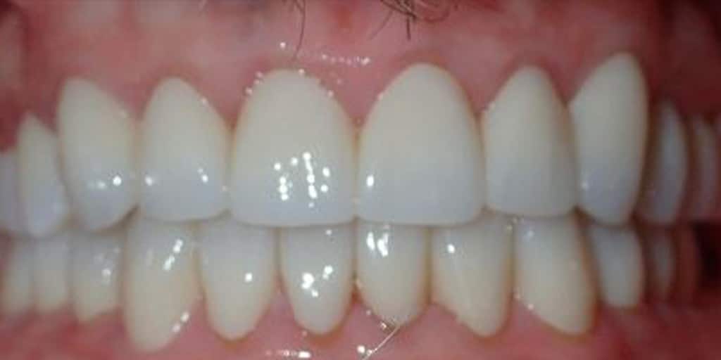
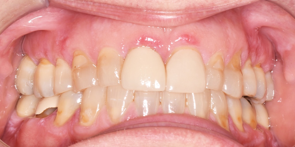
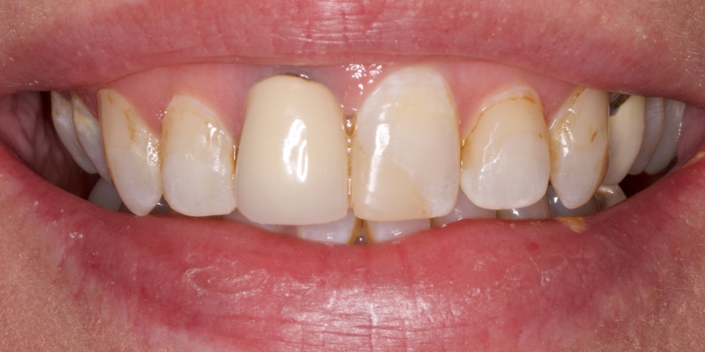
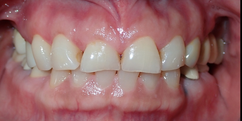
Looking for proof that cosmetic dentistry delivers real, lasting results? Our Cosmetic Dentistry smile results show exactly what’s possible with the right care. At Emerald Peak Dental, we specialize in creating confident smiles through personalized treatments like veneers, teeth whitening, and full smile transformations.

Our Smile Gallery features real before-and-after photos of patients from right here in Anchorage. These are not stock images — they’re the results of trusted cosmetic work performed in our office by a team that truly cares. From subtle improvements to complete aesthetic makeovers, each smile tells a story of restored confidence and comfort.

We take pride in using advanced techniques and high-quality materials to ensure every smile looks natural and lasts. Whether you’re correcting chipped teeth, closing small gaps, or brightening your smile, we take a custom approach to every treatment plan. With decades of combined experience, our team is dedicated to helping you achieve a look that feels both beautiful and uniquely yours.

Each image in our Smile Gallery includes descriptive alt text to ensure accessibility and a better experience for all visitors.

Contact us today to schedule your consultation.